준호씨의 블로그
치통 안녕 - 작년 신경치료 기록 feat. 스케일링, 구토반사 본문

예전에 치통으로 고생을 하고 있다는 글을 올렸던 적이 있습니다. 2020년 4월 글이네요.
치통과 몸살
어제부터 또다시 치통이 시작되었습니다. 몇 달에 한 번씩 치통이 생기는 거 같습니다. 구강검진이나 치과에서는 이빨이 썩어서 그렇다고 하긴 하는데 몇 가지 이유와 핑계로 치료는 안 하고 있
junho85.pe.kr
결론부터 이야기하자면 근 1년가량 치통을 겪고 있지 않습니다. 이유는 작년에 신경치료에 성공했기 때문입니다. 문제의 땜질 떨어진 어금니 치료를 영영 못하나 싶었는데 어째 저째 작년에 성공했습니다.
작년에는 많은 일들이 있었는데요. 번아웃이 오고 한동안 휴식기를 보내면서 제 건강상 문제가 있었던 몇 가지 치료를 본격적으로 시작했던 시기였기도 합니다.
고통받았던 기간은 길었으나 상대적으로 치료기간은 짧고 큰 효과를 봤던 것이 신경치료였습니다. 그동안 여러 이유가 있었지만 신경치료를 받지 못했던 가장 큰 이유는 구토 반사였다고 볼 수 있는데요. 이번에 구토 반사가 좀 나아졌는지 수면치료도 하지 않고 치료에 성공할 수 있었습니다.
구토 반사 완화 이유?
구토 반사가 완화되었던 이유는 여러 가지가 있었는데 생각나는 대로 적어 봅니다.
1. 나이 먹음 - 나이가 들 수록 구토 반사가 줄어든다고 합니다 ㅠㅠ
2. 수면 내시경으로 단련 - 건강 검진할 때 수면내시경도 정말 힘들었었는데요. 아무튼 여러 번 받으면서 입에 뭔가 들어오는 게 단련이 되었는 게 아닐까 싶습니다.
3. 친절한 치과 의사 선생님 - 구토가 생길 수도 있다고 괜찮다고 안심시켜 주시는 의사 선생님이 심리적 안정에 많은 도움이 되었지 않나 생각됩니다. 예전에 갔었던 치과에서는 구토 반사로 혼나기 일쑤였는데 여기 선생님은 친절하게 괜찮다고 해 주셨는데 도움이 되지 않았나 싶네요.
4. 휴가로 인한 심리 안정 - 길게 휴가를 냈던 상황이라 뭔가 쫓기는 일도 없었고 편안했던 게 도움이 되지 않았나 싶습니다.
치과 방문 - 스케일링
작년 9월 휴가 기간 중에 스케일링을 하러 동네 치과에 방문했었습니다.
의사: 스케일링 언제 마지막에 하셨나요?
나: 처음입니다.
의사: 올해 처음이라고요?
나: 생애 최초입니다. (생전 처음이라고 해야 되었는데 부동산 많이 보던 때라 생애 최초라고 튀어나왔네요)
치석 제거에 크게 관심도 없었고 구토 반사도 심하고 하니 스케일링받아볼 생각도 없이 살았었는데요. 아무튼 이 날 생전 처음으로 스케일링을 받았습니다 ^^; 앞으로는 좀 꾸준히 받아 볼까 싶기도 합니다.
저는 치석이 주로 앞니 안쪽 편에 많이 있었는데요. 제 치석 사진입니다. (혐 주의)

병원에서 편안하게 스케일링을 해 주셔서 치석을 제거할 수 있었습니다.

아쉽게도 치석 떨어지고 나서 사진을 안 찍었었네요. 무슨 금속 덩어린 줄 알았었습니다 ^^;
큰 덩어리가 떨어지고 나니 치석 빠진 부분이 허전해서 한동안 뭔가 되게 허전한 느낌이었습니다. 그리고 잇몸이 올라오기 전까지는 구멍이 나 있었는데 다행히도 잇몸이 올라와서 메워지더군요.
앞으로는 꾸준히 스케일링받아볼까 싶네요.
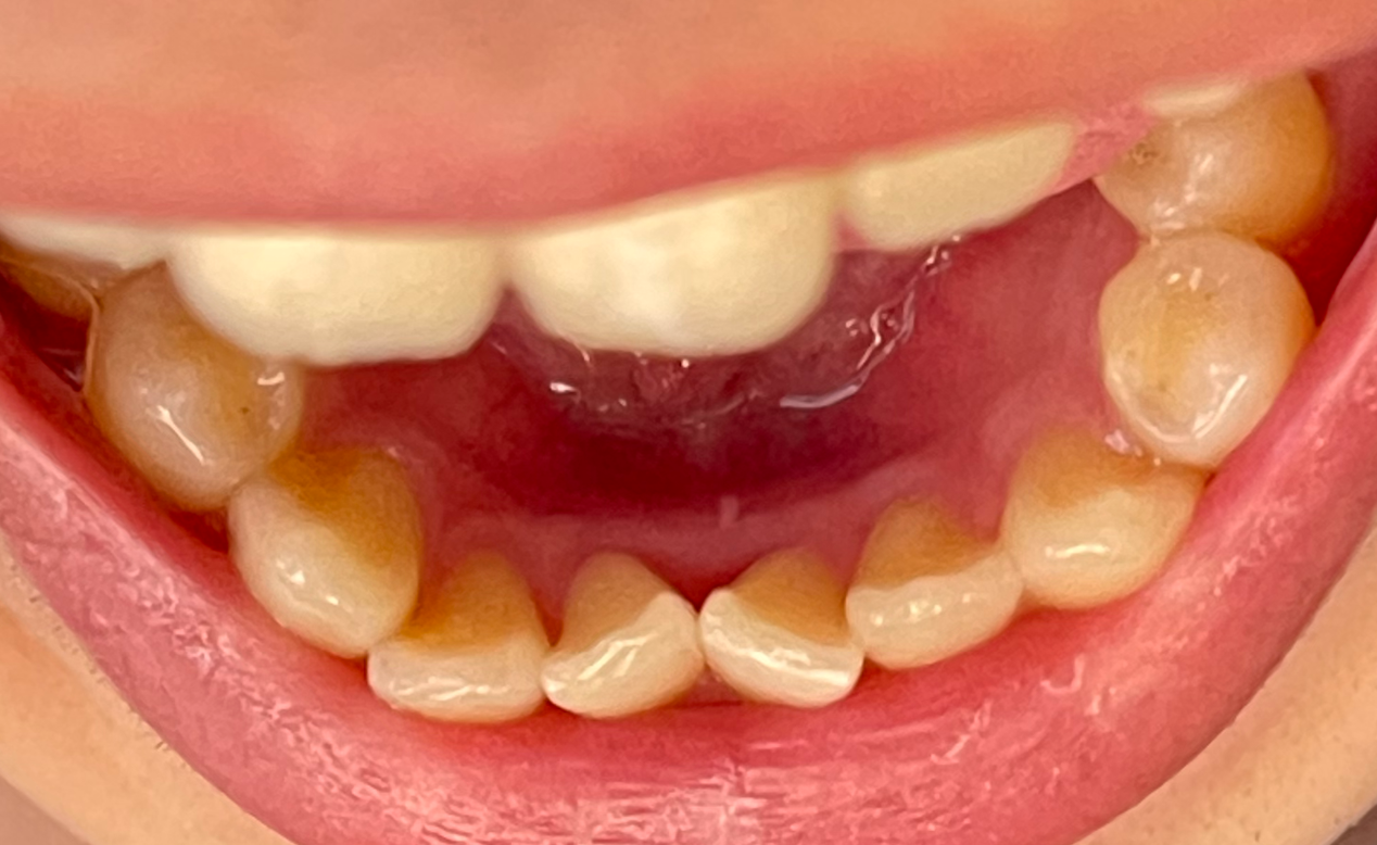
이후로 자세히 안 보고 살았는데 현재 모습입니다. 좀 누르스름 하긴 하지만 치석은 크게 쌓인 거 같지는 않네요.

신경치료
사실 스케일링도 못 받는 거 아닌가 걱정도 했었지만 성공적으로 스케일링을 받고 나니 이 병원에서라면 신경치료도 받을 수 있지 않을까 생각이 되었습니다. 사실 이때만 해도 치통이 썩은 이 때문인지 사랑니 때문인지 조금 긴가민가 했었긴 한데요. 신경치료 이후로 1년 가까이 치통이 없었던 것으로 보아 충치 때문이었던 것 같습니다.
오래전 썩어서 땜질했던 부분이 떨어진 채로 방치하고 살다가 충치가 더 진행되어서 신경을 건드리고 있던 상태였는데요. 4회에 걸쳐 신경치료를 진행했습니다. 구토가 나기도 했지만 의사 선생님이 괜찮다고 그러면서 잘한다고 칭찬도 해주시고 해서 어렵사리 치료 완료했습니다.

저도 말로만 듣던 금니라는 걸 껴 보았습니다. 예전엔 이빨이 통째로 금이라서 금니인가 했는데 크라운 방식으로 씌우는 것이더군요. 처음에는 뭔가 이가 꽉 안 다물어지는 느낌이 들었었는데 의사 선생님 말씀처럼 시간이 점점 지나면서 적응이 되더군요. 1년이 지난 지금은 아주 잘 적응해서 이질감이 전혀 안 느껴집니다.
신경치료가 끝나고 충치가 있는 어금니 하나인가 더 치료했었네요.
아무튼 이제는 오른쪽 이로도 음식을 씹을 수 있게 되었고 더 이상 치통으로 고생하고 있지는 않습니다. 하지만 관리를 제대로 하지 않으면 또 나빠질 수 있기에 양치질도 꾸준히 열심히 하고 치실도 매일매일 하고 있습니다.
'살아가는이야기' 카테고리의 다른 글
| 분당올림픽스포츠센터 수영장 자유수영 (5) | 2022.08.21 |
|---|---|
| 맹장은 어느쪽에? 왼쪽(X)? 오른쪽(O)! (0) | 2022.08.21 |
| 3x3 큐브 맞추기! (0) | 2022.07.23 |
| 구글 검색으로 부터의 검색 유입 회복! (1) | 2022.07.18 |
| LED 불빛 낙하산 날리기 (0) | 2022.06.26 |